Private dental practice providing family dentistry, cosmetic smile design and implants in Ramsgate, Thanet East Kent. All images are unretouched images of work carried out on the premises.
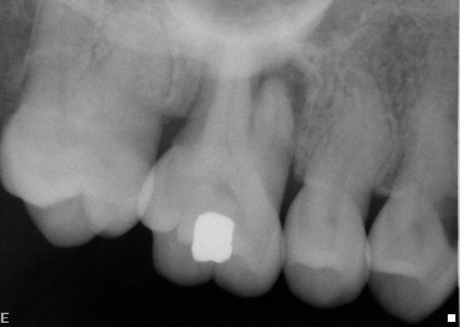
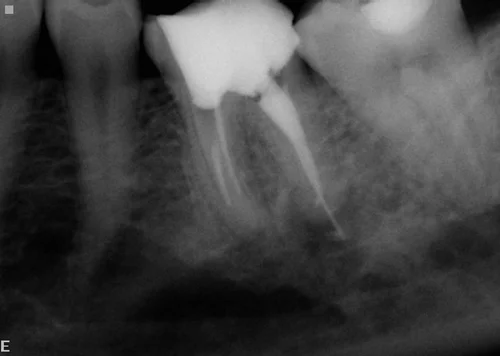
Both roots are infected and the crown is held in place with a metal screw. In addition there is decay under the crown. The options are to remove the crown and screw, re-do the root treatment, rebuild the tooth and make a new crown OR extract the tooth.
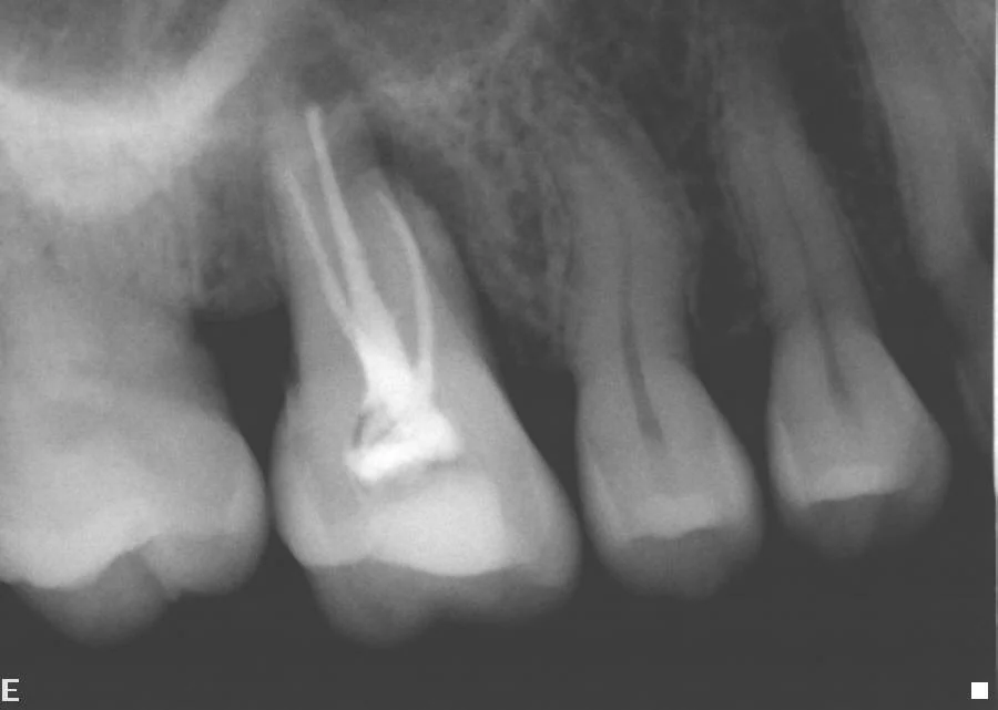
Crown and post were removed and we successfully root treated three roots and rebuilt the tooth in preparation for a new crown.
This molar is extensively decayed at the back, extending into the nerve space. Options are to root treat it (endodontics) or extract it.
Three canals were successfully filled with the infection eliminated. The tooth was rebuilt and now has a good prognosis.
A lower molar has been extracted years ago and not replaced—leading to extensive over-eruption and tilting of the remaining teeth. This opens up contact points leading to food packing, decay, irregular bite and loss of further teeth. Always replace missing lower molars as soon as possible.
This shows an infected premolar with bone loss around the root; and a failed attempt at root treating a molar, with extensive bone loss. A decision was made to root treat the teeth and restore them.
The lower left premolar was root filled and turned out to have an unusual forked root structure ('bifid canal'). The infected molar root was re-root filled and a new crown made, saving both teeth.
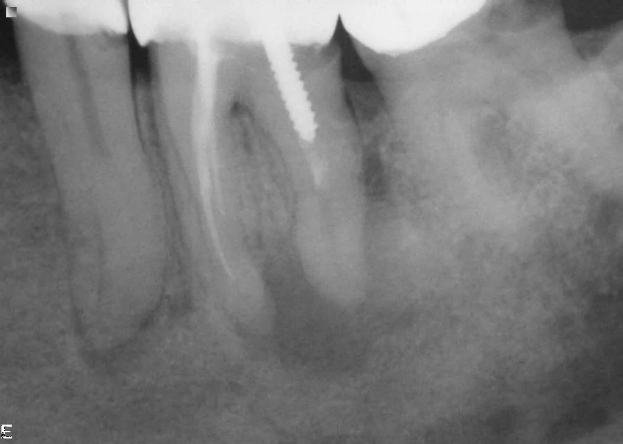
The nerve on this tooth had died causing infection and bone loss around the roots. Options were root treatment (endodontics) or extraction.
After treatment, showing good root filling of three roots. The tooth is still functional and symptomless after one year.
A large filling has killed the nerve in the tooth. Options are root treatment (endodontics) or extraction.
The tooth had an extremely curved root. After endodontics, the tooth does not need to be extracted and is functional.